Kula
Kula.
Tak ją nazwaliśmy.
Alabai z Kupiańska. Ma zaledwie półtora roku – dziecko w psim świecie. A jednak już zna zapach krwi, huku i strachu.
Znaleźli ją żołnierze.
Leżała wśród ruin, w miejscu, gdzie chwilę wcześniej spadły pociski.
Wokół kurz, odłamki, cisza, w której słychać tylko jej urywany oddech.
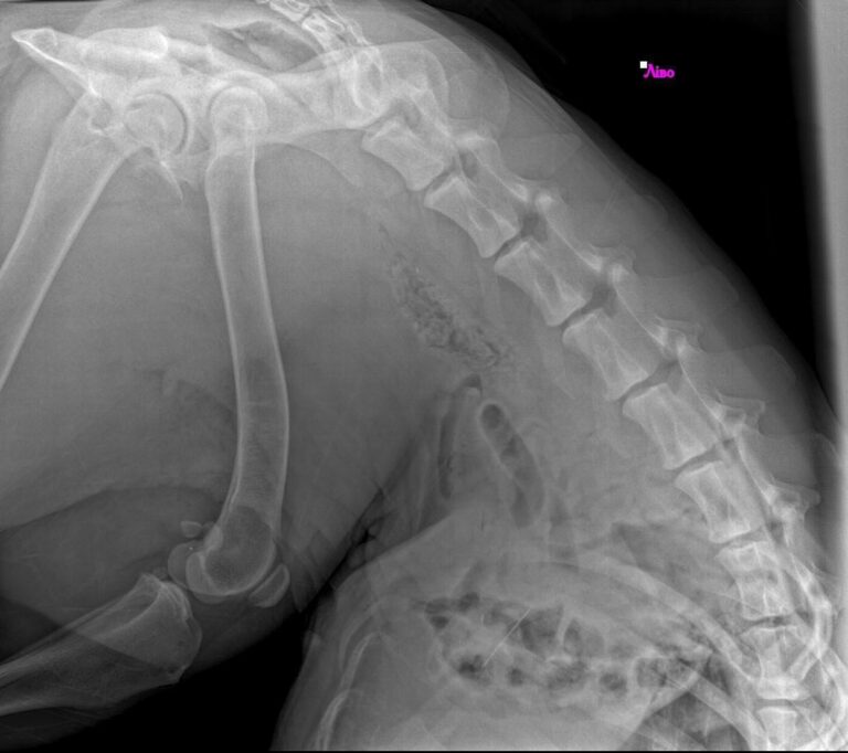
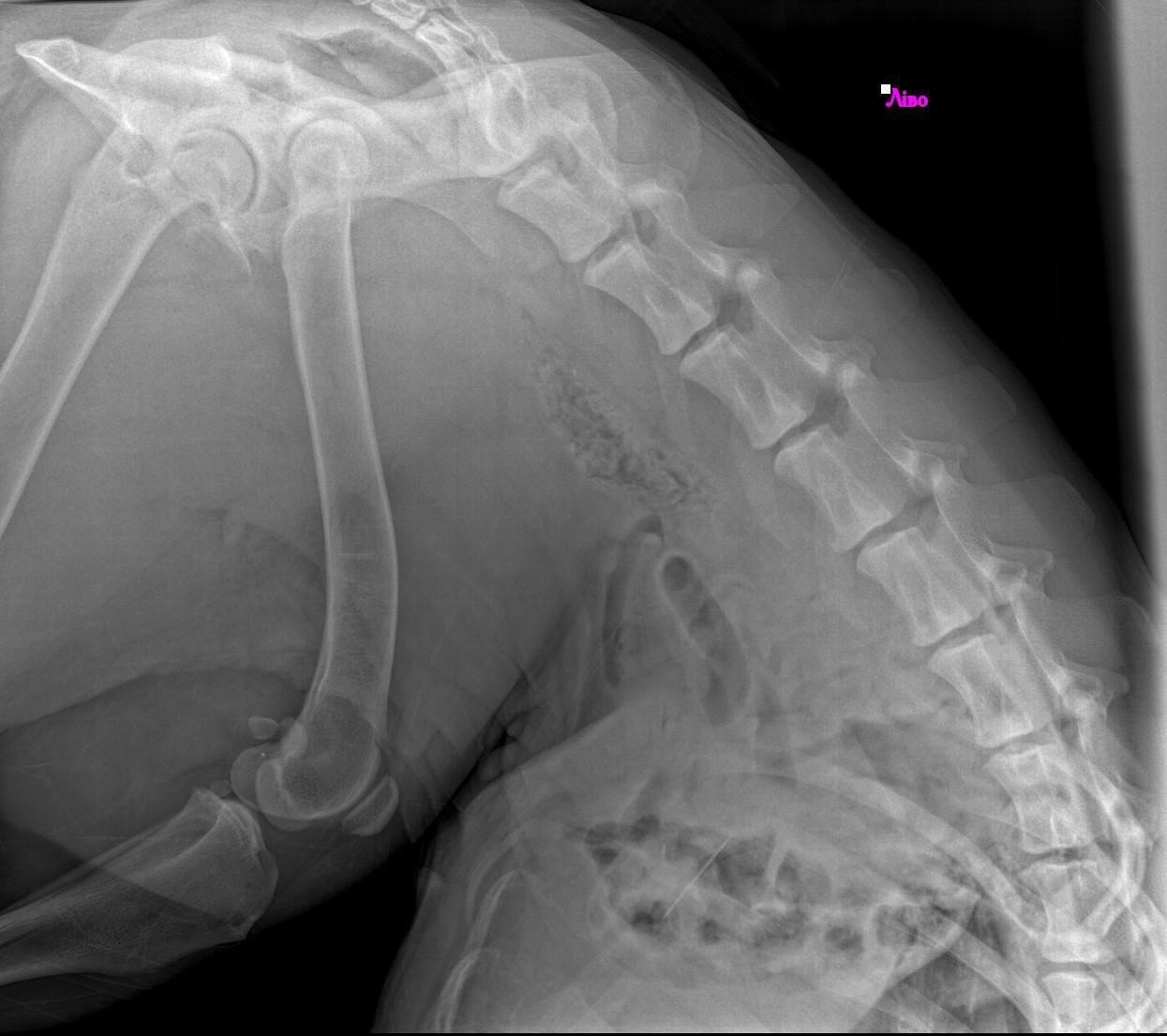
Miała w ciele kulę. Rana była otwarta, krwawiąca. A mimo to… żyła.
15 1020 5226 0000 6002 0220 0350
Fundacja Centaurus
ul. Wałbrzyska 6-8, 52-314 Wrocław
o treści KULA
– pod numer 74444 (koszt 4,92 zł z VAT),
– pod numer 79799 (koszt 11,07 zł z VAT),
– pod numer 91979 (koszt 23,37 zł z VAT),
– pod numer 92579 (koszt 30, 75 zł z VAT).
Kula.
Tak ją nazwaliśmy.
Alabai z Kupiańska. Ma zaledwie półtora roku – dziecko w psim świecie. A jednak już zna zapach krwi, huku i strachu.
Znaleźli ją żołnierze.
Leżała wśród ruin, w miejscu, gdzie chwilę wcześniej spadły pociski.
Wokół kurz, odłamki, cisza, w której słychać tylko jej urywany oddech.
Miała w ciele kulę. Rana była otwarta, krwawiąca. A mimo to… żyła.
Była wychudzona, wycieńczona, brudna.
Ale w oczach – coś, co trudno opisać. Nie prośba, nie rezygnacja. Raczej pytanie: czy tym razem ktoś mnie zauważy?
Żołnierze nie przeszli obojętnie.
Zrobili wszystko, co mogli.
Zabrali ją z ruin, opatrzyli prowizorycznie i zaczęli szukać dla niej ratunku.
Tak Kula przemierzyła całą Ukrainę. Z linii frontu, z chaosu wojny – do miejsca, gdzie mogła po raz pierwszy odetchnąć spokojnie.

Kiedy trafiła do naszego centrum, wiedzieliśmy, że to walka z czasem.
Podczas badań okazało się, że oprócz rany postrzałowej, w jej żołądku tkwi igła.
Nie wiadomo, jak długo. Nie wiadomo, jak przeżyła.
A to nie wszystko – miała też ropne zapalenie macicy, chorobę, która w takim stanie zabija błyskawicznie.
Nie było czasu na czekanie.
Kula trafiła na stół operacyjny.
Zespół weterynarzy pracował godzinami, ostrożnie, z nadzieją, że jej ciało wytrzyma kolejną próbę.
I wytrzymało.
Kula przeżyła.

Dziś, choć jeszcze niepewnie, staje na łapy.
Każdy krok to wysiłek, każdy posiłek to nowa dawka siły.
Jej blizny wciąż są świeże, ale w spojrzeniu jest coś, co znamy aż za dobrze – wola życia.
Kiedy rano do niej wchodzimy, merda ogonem. Delikatnie, jakby nie była jeszcze pewna, czy może.
Ale potem podchodzi. Opiera głowę o kolano.
Nie trzeba słów – to dziękuję szeptane z głębi psiego serca.
Kula jest symbolem.
Nie tylko wojny, bólu i cierpienia. Jest dowodem na to, że nawet tam, gdzie wali się świat, dobro potrafi znaleźć drogę.
Przez błoto, przez granice, przez ludzkie ręce, które nie odwracają wzroku.

Pomóż jej wrócić do życia.
Bo każda uratowana Kula to historia, którą napisało serce człowieka.
A jeśli jeszcze wątpisz, że jedna decyzja coś zmienia – spójrz w jej oczy.
Tam zobaczysz wszystko. 💚
Dziś zbieramy środki, by pomóc jej dojść do pełni sił.
Potrzebne są fundusze na operację, diagnostykę, badania kontrolne i karmę, która pomoże odbudować jej osłabione ciało.
Każda złotówka to krok bliżej zdrowia. Każda pomoc to sygnał, że nie jest sama.

Fundacja Centaurus
ul. Wałbrzyska 6-8
52-314 Wrocław
PKO BP 15 1020 5226 0000 6002 0220 0350
Dla wpłat zza granicy
Swift/Bic: BPKOPLPW
IBAN: PL15102052260000600202200350
PKO BP Odział I we Wrocławiu
ul. Wita Stwosza 33/35
50-901 Wrocław
Dla wpłat za granicy i wpłat stałych (Raiffeisen Bank):
PL36 1750 1064 0000 0000 2257 6747 (wpłaty w PLN)
PL17 1750 1064 0000 0000 2257 6798 (wpłaty w EUR)
Konto Klub Centaurusa
13 1020 5226 0000 6302 0398 3293
PL
EN














